ACHTUNG: Mit der Anmeldung über deinen Social Account akzeptierst Du die Datenschutzerklärung (Cookie & GDPR) und alle Regeln dieses Forums. Die Anmeldung selbst wird als ausdrückliche Zustimmung gewertet. Wenn Du bereits in einem Social eingeloggt bist, wirst Du durch Klicken auf eine der obigen Schaltflächen sofort angemeldet.
Tinnitus und Schwinde
Tinnitus und Schwinde
Hallo,
ziemlich spontan fing es bei mir an Pfingsten mit Dauerschwindel an. 5 Tage Krankenhaus (CT Kopf, CT Angio, MRT Kopf, HNO), es wurde nichts gefunden. Ich bin dann zum Orthopäden, beim MRT Hals wurden Protrusionen festgestellt, ansonsten unauffällig, ich wurde an Osteopathen und Physiotherapie verwiesen wegen HWS Syndrom, Atlasblockade. Schon zu Beginn hatte ich ein leichtes Rauschen, vor allem im linken Ohr, das wurde mit der Zeit immer stärker und führte mich jetzt nochmals zum HNO Arzt. In der Zwischenzeit kamen Verspannungen im Nacken hinzu, seit einigen Wochen auch im Kiefer. Sowie Spannungskopfschmerzen. Der Schwindel ist im Laufe der Zeit besser geworden. Aber der ständige Tinnitus belastet inzwischen sehr stark.
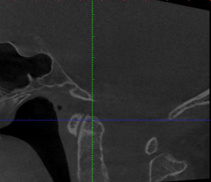
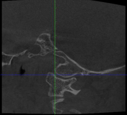
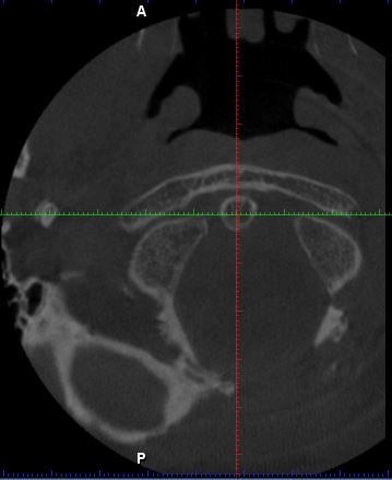
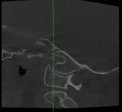
Der HNO Arzt vermutet die Halswirbelsäule als Ursache für den Tinnitus und hat eine DVT anfertigen lassen. Leider kann er die Aufnahmen nicht auswerten und sein Radiologe hat Urlaub. Kann von Euch jemand auf den angehängten Fotos etwas erkennen?
Liebe GrĂĽĂźe Claus
ziemlich spontan fing es bei mir an Pfingsten mit Dauerschwindel an. 5 Tage Krankenhaus (CT Kopf, CT Angio, MRT Kopf, HNO), es wurde nichts gefunden. Ich bin dann zum Orthopäden, beim MRT Hals wurden Protrusionen festgestellt, ansonsten unauffällig, ich wurde an Osteopathen und Physiotherapie verwiesen wegen HWS Syndrom, Atlasblockade. Schon zu Beginn hatte ich ein leichtes Rauschen, vor allem im linken Ohr, das wurde mit der Zeit immer stärker und führte mich jetzt nochmals zum HNO Arzt. In der Zwischenzeit kamen Verspannungen im Nacken hinzu, seit einigen Wochen auch im Kiefer. Sowie Spannungskopfschmerzen. Der Schwindel ist im Laufe der Zeit besser geworden. Aber der ständige Tinnitus belastet inzwischen sehr stark.
Der HNO Arzt vermutet die Halswirbelsäule als Ursache für den Tinnitus und hat eine DVT anfertigen lassen. Leider kann er die Aufnahmen nicht auswerten und sein Radiologe hat Urlaub. Kann von Euch jemand auf den angehängten Fotos etwas erkennen?
Liebe GrĂĽĂźe Claus
- admin
- Site Admin
- Beiträge: 3120
- Registriert: 20/12/2007, 9:40
- Ha espresso il “Mi piace”: 17 volte
- Mi piace ricevuti: 4 volte
- Kontaktdaten:
Re: Tinnitus und Schwinde
Mann soll die Bilder in 3D anschauen, es ist die ganze datei in dicom format nötig. Einzelne bilder zu schauen ist nutzlos.
Re: Tinnitus und Schwinde
Kennt jemand jemanden in München, der so eine DVT auswerten kann? Mein Orthopäde winkt beim Thema "Atlas" nur ab, für ihn ist alles in Ordnung.
- admin
- Site Admin
- Beiträge: 3120
- Registriert: 20/12/2007, 9:40
- Ha espresso il “Mi piace”: 17 volte
- Mi piace ricevuti: 4 volte
- Kontaktdaten:
Re: Tinnitus und Schwinde
Du kannst dich jemand aus der liste suchen: Atlantomed Spezialist


